誕生日プレゼントです
男性から問い合わせの電話でした。
「ホワイトニングとか、セラミック治療・審美治療してますか?」
彼はその電話で予約を取り、当日来院したのは女性でした。
ホワイトニング、審美治療・セラミック治療の説明をすると、最後に質問されたのが
「支払いは私じゃないのですが良いですか?」
話を聞いてみると、彼が誕生日のプレゼントとして考えていると言うことでした。
ワォ〜!当然「大丈夫ですよ」とお答えしました。

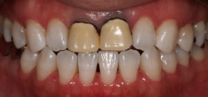
ホワイトニング後、術前
また、初診時の写真を取り忘れホワイトニング後の写真です 涙
見ていただくとお分かりのように前歯2本のセラミック治療が主訴です。
また左右の歯肉の位置が違うことも気にされています。

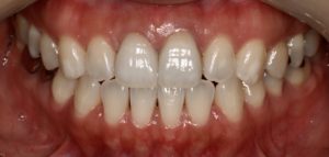
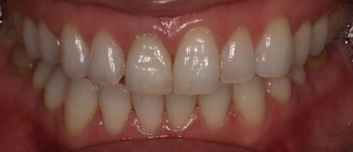
術後
治療法 セラミック治療
治療期間 1.5ヶ月
治療本数 2本
治療費 パーフェクトホワイトニング 49,500円
歯肉処置 5,500円
仮歯 2,200円×2本
オールセラミック 132,000円×2本
処置費用 12,100円
合計 335,500円
※全て税込
セラミックを付ける日、彼は医院の駐車場で治療が終わるのを待って支払い時のみ来院しました。
なんて優しい彼でしょう。
とても優しそうな雰囲気の彼でした。
二人で術後の前歯を「すごい!すごい!」と喜んで帰っていかれました。
前の記事 :
このような治療もしています
次の記事 :


