コラム

column

前歯の審美治療を専門的にやっています

 

 

審美治療はとても繊細な治療です。

ほんの0.1〜0.2㎜の差で見栄えが大きく変わります。

そこには技術やノウハウだけでなく、歯医者や歯科技工士の審美眼やセンスが大きく影響します。

それを知ってもらうためには、術前・術後の写真が一番効果的だと思います。

 

今回はセラミック治療とすきっ歯の治療でダイレクトボンディングを紹介します。

 

30代前半の女性です。

この方は長く通っている患者さんです。

ここ数年治したがっていたのですが、いろいろな事情でやっと今回治療ができました。

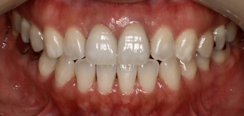
術前写真の時点で結構ホワイトニングをしています。

 

術前

1回目

 

上記の写真を見ていただくと若干セラミックが黄色っぽい感じがしませんか?

前歯一本だけのセラミック治療は色を合わせるのがとても困難で、普通の歯科技工士ではほぼ不可能です。

今回、患者さんは気にならないとのことでしたが私がこだわらせてもらい、患者さんにお願いして色の修正をさせてもらいました。

 

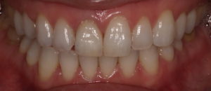
術後

 

色合いもぴったりでとても自然な感じに治りました。

 

治療法 セラミック治療

治療本数 1本

治療期間 1ヶ月

治療費 仮歯 2,200(税込)

    オールセラミック 132,000円(税込)

    合計 134,200円(税込)

 

 

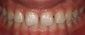
次の患者さんはすきっ歯治療希望で来院した19歳の女性です。

矯正専門の医院で相談して悩んだ末に来院したとのことでした。

 

術前

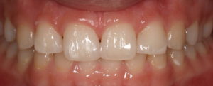
術後

 

治療法 ダイレクトボンディング

治療本数 4本

治療期間 1日(即日)

治療時間 90分

治療費 22,000円(税込)×4本=88,000円(税込)

 

審美治療・セラミック治療やダイレクトボンディングの治療後に患者さんが初めて鏡を見たときの顔がとても嬉しそうで、その笑顔が毎回私にやり甲斐を感じさせます。

今回2症例とも例外なくとても喜んでもらえました。

前の記事 :
次の記事 :

一覧に戻る