このような治療もしています
主に日々、審美治療・セラミック治療やすきっ歯治療を行っていますが歯医者として歯周病治療、インプラント治療、虫歯治療なども当然行っています。
今回の患者さんは40代男性です。
先に奥様とお子さんが来院して、その後ご主人である今回の患者さんが来院しました。
仕事が忙しく、日曜しか来院できないとのことでこの数年間歯医者には行っていなかった様です。

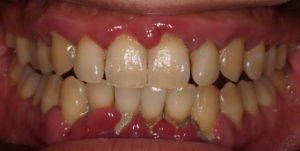
初診時 術前
かなり、歯石が溜まって歯肉が腫れています。
毎回歯を磨くと、結構出血していた様です。
流石にこの状況で1回の歯のクリーニングでは歯石が取りきれませんので、2回に分けて行いました。
その後、深い虫歯もあったので続けて虫歯治療も行いました。
まだ、虫歯治療は継続していますが歯肉の方は少し落ち着いてきたので中間評価として写真を撮りました。

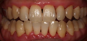
中間評価
まだ、歯肉は赤く腫れていますが初診時から比べるとだいぶ良くなって来ています。
写真を見ると、ある意味審美治療だな〜と思っています。
保険診療だとこの状態まで回復するのに2ヶ月以上かかりましたが、保険外で歯周病治療を行うと1ヶ月でこれ以上の回復が見込まれます。
時間がない方や短期治療がご希望の方は一度ご相談ください。
保険外の場合は歯のクリーニングの他にレーザー治療、投薬などを駆使して短期で治療を行います。
前の記事 :
前歯の審美治療を専門的にやっています
次の記事 :
誕生日プレゼントです


